Підготовка до проведення ВЕГДС під медикаментозним сном
Гастроскопія в Києві
Відеоезофагогастродуоденоскопія (ВЕГДС), також відома як гастроскопія, езофагогастродуоденоскопія або фіброгастроскопія (ФГДС), є одним із найбільш інформативних методів діагностики захворювань стравоходу, шлунка та дванадцятипалої кишки.
Дослідження дозволяє лікарю-ендоскопісту візуально оцінити стан слизової оболонки, виявити запальні зміни, ерозії, виразки та інші патології на ранніх стадіях. Під час процедури, за медичними показаннями, може бути проведена біопсія - забір невеликого зразка тканини для подальшого лабораторного аналізу. Це підвищує точність діагностики та допомагає обрати оптимальну тактику лікування.
Пройти ВЕГДС у Києві ви можете в Клініці МЕДІКОМ (Оболонь та Печерськ). Обстеження проводиться з дотриманням сучасних медичних протоколів, із використанням якісного ендоскопічного обладнання та знеболення для комфорту пацієнта. Зверніться до нас і дізнайтесь все про підготовку до обстеження за телефоном цілодобового контакт-центру клініки.
Як проходить гастроскопія
Відеогастроскопія (ВГДС) використовується для:
- Оцінки стану слизової травного тракту і діагностики патологічних змін в ній.
- Отримання зразків (біопсії слизової з уражених та підозрілих ділянок стравоходу, шлунку, дванадцятипалої кишки).
- Зупинки шлунково-кишкової кровотечі.
- Видалення сторонніх тіл зі стравоходу, шлунку, дванадцятипалої кишки.
- Проведення біоптатного тесту з метою діагностики Helicobacter pylori.
- Проведення PH-метрії шлунку.
При проведенні езофагогастродуоденоскопії можна виявити такі патології:
- Запальні та дегенеративні процеси в слизовій (наприклад, езофагіт, гастрит, дуоденіт, ерозії та виразки шлунка та в дванадцятипалій кишки).
- Доброякісні новоутворення (неоплазії).
- Злоякісні процеси (пухлини стравоходу, шлунка і дванадцятипалої кишки).
- Вроджені та набуті анатомічні дефекти - стеноз, дивертикули і рубцеві зміни органів травного тракту.
Також можна провести диференціальну діагностику патологічних змін слизової оболонки методом хромоендоскопіі - фарбуванням слизової спеціальними нешкідливими барвниками з метою вивчення її рельєфу і структури у разі необхідності.
Проведення ЕФГДС рекомендується гастроентерологом в ситуаціях, коли:
1. Є симптоми, що характерні для захворювань травного тракту, а саме:
- біль в епігастральній ділянці (області шлунка) до або після прийому їжі;
- печія, відрижка повітрям з кислим присмаком, з запахом "тухлого яйця";
- відчуття гіркоти, "металевий" або інший неприємний присмак у роті;
- нудота, блювота після прийому їжі або натщесерце, відраза до їжі;
- блювота з домішкою крові або "кавової гущі", особливо в поєднанні зі слабкістю, запамороченням, і стільцем, який має темний (чорний) колір - в цій ситуації обов'язково потрібна гастроскопія.
2. У разі попередньої діагностики хронічних захворювань стравоходу, шлунку, 12-палої кишки.
3. У разі підозри на спадкові хвороби стравоходу, шлунку, 12-палої кишки.
Як виконується гастроскопія в клініці МЕДІКОМ
При езофагогастродуоденоскопії у шлунок пацієнта через рот і стравохід вводять відеогастроскоп. Завдяки будові апарату, кінчик зонда може згинатися в декількох напрямках і передавати зображення на монітор.
Підготовка до процедури, про яку обов'язково розповість лікар-гастроентеролог, дуже проста - вона полягає в проведенні огляду натщесерце. Останній прийом їжі напередодні ВЕГДС повинен бути не пізніше 18.00.
Під час обстеження робиться відеозапис, який можна перенести на цифровий носій. Запис зберігається в архів.
Гастроскопія БЕЗ болю під медикаментозним сном
Часто ми радимо проходити дане дослідження в процесі медикаментозного сну. При такому підході процедура є найменш травматичною для пацієнта і дає лікареві можливість в повній мірі дослідити всі ділянки, що його цікавлять.
Програма консультацій та досліджень "Обстеження перед колоноскопією, ВЕГДС" у Клініці МЕДІКОМ призначена для безпечної підготовки пацієнта до проведення ендоскопічних досліджень під медикаментозним сном.
Перед процедурою пацієнт проходить:
- загальний аналіз крові,
- визначення рівня глюкози в крові,
- електрокардіограму (ЕКГ).
Це дозволяє лікарю оцінити загальний стан здоров’я та мінімізувати можливі ризики. У програму включено знижку.
Експертна ВЕГДС — переваги
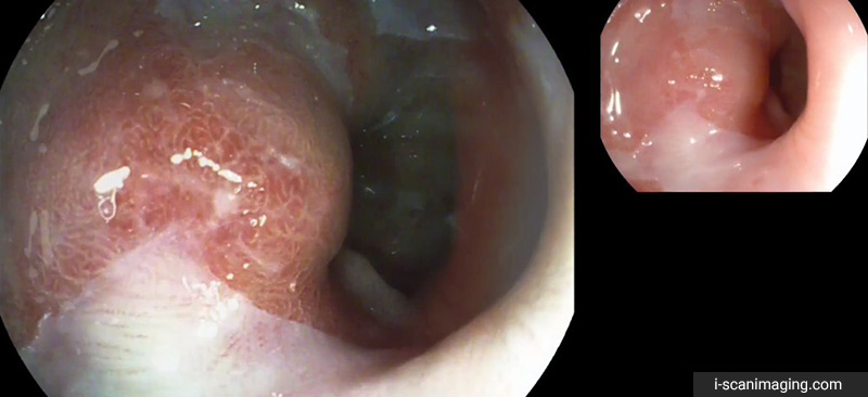
Експертна ВЕГДС проводиться з використанням технології i-scan. Функція i-scan працює за рахунок програмної обробки відбитого світла і дає цифрове та оптичне покращення зображення, що отримується за допомогою відеоендоскопа.
До переваг експертної ВЕГДС можна віднести кращу візуалізацію:
- структур судин;
- меж пошкоджених ділянок;
- слизової, тканин внутрішніх органів;
- пухлин і новоутворень.
Фото з прикладами зображень, отриманних при звичайній (праворуч) і експертній ВЕГДС (ліворуч).
Устаткування для гастроскопії (ВЭГДС) в клініці МЕДІКОМ
У поліклінічних відділеннях МЕДІКОМ на Оболоні та Печерську ВЕГДС виконується сучасними відеоендоскопами виробництва Pentax (Японія).
Відеогастроскопи з різним діаметром ввідної трубки можуть використовуватися для обстеження дітей старше 15 років і дорослих, у тому числі пацієнтів зі стенозами верхніх відділів шлунково-кишкового тракту.
Завдяки високій якості зображення без спотворень з природним перенесенням кольорів, лікар-ендоскопіст може детально вивчити стан слизової оболонки стравоходу, шлунку, дванадцятипалої кишки. При необхідності, зображення, отримане при ВЕГДС, можна багаторазово збільшити.
У стаціонарному відділенні клініки МЕДІКОМ на Оболонській Набережній, 9 ВЕГДС виконується на ендоскопічному устаткуванні експерт-класу (відеогастроскоп Pentax EG27-i10, високопродуктивний HD+ відеопроцесор EPK-i7010 з режимом вузькоспектрального освітлення i-scan, професійний медичний монітор "Pentax 27").
Технічні характеристики цього ендоскопа дозволяють проводити складні дослідження і широкий спектр маніпуляцій, включаючи видалення доброякісних новоутворень у важкодоступних місцях. Під час обстеження робиться відеозапис, який можна перенести на цифровий носій. Запис зберігається в архів.
Ультра-тонкий відеогастроскоп Pentax EG1690К в стаціонарному відділенні клініки МЕДІКОМ на Оболонській Набережній, 9 може використовуватися для виконання ВЕГДС трансназально. Проведення ендоскопа робиться через носовий хід. Головна перевага трансназальної ВЕГДС — значне зниження рівня блювотного рефлексу (чи його повна відсутність). При цьому якість діагностики залишається на високому рівні!
Просимо звернути увагу на протипоказання для проведення трансназальної гастроскопії, до яких відносяться: травми носа і носоглотки, множинні поліпи, викривлення перегородки носа, підвищена контактна кровоточивість.
Ви можете бути впевнені у безпеці та стерильності процедури. Організація технологічного процесу очищення гнучких ендоскопів в клініці МЕДИКОМ робиться згідно з рекомендаціями МОЗ України з використанням дезінфектантів фірми BODE (Франція).
Спосіб очищення регламентований чинними санітарними правилами та відповідає стандартам дезінфекції високого рівня. Обробка включає: попереднє передстерилізаційне очищення внутрішніх каналів ендоскопа щітками й цикл в автоматичній мийній машині для ендоскопів.
Якщо ви у пошуках лікувальної установи, в якій проводиться гастроскопія (Київ), рекомендуємо зупинити свій вибір на клініці МЕДІКОМ.
Питання-Відповідь
Скільки триває відеогастроскопія при її проведенні з введенням пацієнта у медикаментозний сон?
Тривалість відеогастроскопії у цьому випадку становить близько 30 хвилин.
Скільки відходять від наркозу після гастроскопії?
Під час проведення відеогастроскопії під анестезією пацієнт приходить до тями приблизно через 40 хвилин після ін'єкції.
Чи можна чистити зуби перед ВЕГДС?
Під час підготовки до відеогастроскопії не рекомендується чистити зуби, а також не можна приймати їжу і пити воду.
Чи потрібно очищати кишечник перед фіброгастроскопією?
Під час підготовки до гастроскопії не потрібно очищати кишківник, оскільки досліджуватися будуть тільки стравохід, шлунок і дванадцятипала кишка. Очисна клізма може знадобитися у тому випадку, якщо крім ВЕГДС буде проводитися колоноскопія.
Кому не можна робити ВЕГДС?
Існують наступні протипоказання до ВЕГДС: дивертикульоз стравоходу, звуження стравоходу, шлунка, важка форма бронхіальної астми, серцева недостатність, гострі періоди інфаркту, інсульту, занедбані стадії атеросклерозу, порушення згортання крові, деформації хребта або грудної клітки, збільшення щитоподібної залози.
Що не можна робити після гастроскопії?
Необхідно дотримуватися наступних обмежень після ВЕГДС: не можна протягом 1-2 годин після дослідження пити і вживати їжу, протягом доби не можна вживати гарячу, солону, гостру, грубу їжу, алкогольні напої. Протягом перших 12 годин слід виключити фізичну активність, а також керування транспортом.
Лікарі
У нас працюють лікарі-ендоскопісти вищої категорії, що володіють навичками проведення ФГДС, біопсії і малотравматичних ендоскопічних операцій. Співробітники нашої клініки регулярно беруть участь в міжнародних конференціях та тренінгах, постійно вдосконалюючись в професійному плані.
Ціна ЕФГДС
На послуги, позначені зірочкою *, знижка постійного клієнта 10% і 15% не поширюється.
Ліцензії та сертифікати
Виїзд бригад невідкладної допомоги здійснюється по всіх районах Києва (Оболонь, Печерськ, Поділ, Святошин, Дарниця, Голосіївський, Шевченківський, Солом'янський, Дніпровський, Деснянський) та передмістя (Вишгород, Буча, Ірпінь, Бровари).
Вiдгуки
Дякую Медікому за якісну діагностику. мучила печія та біль у шлунку, я хвилювалась, але ВЕГДС не така страшна, проте дала чіткий висновок і полегшення після лікування.
Мучила печія і біль у верхній частині живота, вирішив записатись на планову гастроскопію. Процедура була швидка і спокійна — не так страшно, як думав. Після отримав висновок і рекомендації, стало трохи легше, відновлення зайняло кілька днів.
Звернувся до Медікому через зручну можливість швидко записатися. Візит пройшов чудово. Прийом відбувся без затримок. Лікар, який проводив гастроскопію, професійно й оперативно виконав процедуру. Після завершення мені видали висновок.
Тільки позитивні враження. Можу рекомендувати спокійно клініку іншим.
Не сама приємна процедура, але, як мені здалося, тут її проводять на належному рівні. Тим паче перепитувала сусідку, яка в тому році теж робила гастроскопію в Медікомі, і вона підтвердила мої слова.
Леонід Кравець надав вичерпні рекомендації та докладно пояснив усю необхідну інформацію. Під час процедури, яка була дещо неприємною, він підтримував мене. Після обстеження отримала на руки висновок, а також консультацію лікаря з відповідними рекомендаціями. Клініка справила дуже позитивне враження — комфортна і затишна.
З тим що робила таку процедуру 15 років тому і зараз - це просто небо і земля. Зараз все максимально просто і головне - безболісно.
Після завершення ЕГДС я отримала важливі відомості щодо мого стану здоров'я, і це завдячую зусиллям та досвіду лікарів цієї клініки. Вони зробили все можливе, щоб забезпечити моє комфортне проходження цієї процедури.
Дуже швидко мене обслужили та записали на ресепшені. Вже через годину в мене були результати на руках. Що ще треба, коли працюєш в режимі нон-стоп.
Нарешті вдалося зрозуміти ступінь розвитку свого гастриту. Бо по простих УЗІ що мені тільки в нашій поліклініці не приписували. Тепер можна вже з терапевтами в клініці підібрати правильне лікування.
У мого батька була підозра на онко. Але він після ковтання зонду в дитинстві страшно боявся подібних процедур. Тільки показавши всю апаратуру в Медікомі та почувши пояснення лікарів він погодився на цю процедуру. Слава Богу, нас страшна недуга оминула. Але треба буде боротися з трохи меншими проблемами.
Вчора проходила обстеження ФГДС у лікаря Карповська Людмила Петрівна! Весь негатив цієї неприємної процедури був зведений до мінімуму, завдяки золотим рукам і чуйному серцю Людмили Петрівни. Фахівець високого класу і дуже гарна людина! Велика подяка їй!!! В кого буде необхідність проведення даного обстеження, рекомендую цього лікаря! Будьте всі здорові!
Проходила эту мало приятную процедуру в частной клинике, так как не очень доверяю гастроэнтерологу по месту прописки. Процедуру мне проводил Ялтонский Андрей Владимирович. Доктор сразу разъяснил, что за анализ такой гастроскопия, как подготовиться к нему. Если вкратце, то делать нужно натощак. При этом лучше дня за 2-3 исключить из рациона все продукты, которые вызывают газообразование: капусту, черный хлеб, фасоль и горох, и все такое. Для меня всегда бывает довольно сложным заглотить "кишку", поскольку начинаются рвотные спазмы, из глаз льются слезы и дышать глубоко и ровно, как советует врач, не всегда удается. Но с Андреем Владимировичем все прошло гораздо лучше и легче. Спасибо за ваши золотые руки!
Если вам необходима эндоскопическая диагностика, то не бойтесь и смело идите. Лечение у стоматолога намного неприятнее. Делал эту процедуру я в клинике "МЕДИКОМ", на Оболони ул. Кондратюка, 8. Стоит это недешево. Но я остался доволен работой врача и медсестры. Анализ делал врач-эндоскопист Лужанский Роман Владимирович. Для более комфортного проведения делают обезболивание для горла. Где-то через полчаса заморозка проходит и можно кушать. Горло не болит. Большое спасибо за профессионально выполненную процедуру.
Были направлены на обследование, правда причина изначально, казалось бы, и не была связана с желудком, гастритом и прочим. Но после тщательного опроса по поводу жалоб, после, того как Васкес-Абанто Анна Эстуардовна сделала пальпации животика появилось подозрение именно на гастрит. Изначально предложили сделать ФГС. Но по результатам ЭКГ сделанного за месяц до этого, пришли к выводу, что все, же дочке не стоит делать ФГС, ибо есть риски по сердцу. И решили делать хелпил тест Голодный желудок не менее 6 часов обязательное условие. Сначала дочке дали выпить один маленький стаканчик со специальной жидкостью, она подышала несколько минут, ей дали выпить еще один стаканчик. Проводится он специальным маленьким электронным приборчиком с трубочкой. Ее нужно вставить в рот и дышать. Огромное спасибо за предложенную альтернативу.
Были у меня проблемы с желудком, и местный гастроэнтеролог сказал, что процедура эзофагогастродуоденоскопия в Киеве лучше проводится, чем в районной поликлинике. И, правда, Медиком оправдал все ожидания. Клиника комфортабельная, современная доктора не просто специалисты от Бога, но и прекрасные люди. Особенно хотелось поблагодарить Васкес-Абанто Анну Эстурадовну это человек, который умеет быть профессиональным и добросердечным.
Обратился в клинику из-за болей в желудке после еды и частой отрыжки. Швец Олег Витальевич сказал, что часто проблемы с желудком обусловлены бактерией и рассказал, что такое helicobacter pylori. Эта бактерия вызывает воспаление слизистой оболочки желудка, приспосабливаясь к агрессивной среде, и приводит к гастриту и язве. Процедура проводится довольно просто: сначала выдыхаешь воздух в специальный пакет (нулевая проба). Потом, не разжевывая, проглотить препарат и запить ее половиной стакана воды. Через 10 минут снова выдохнуть воздух во второй пакет. По результатам назначили лечение, которое дает свои плоды. Спасибо огромное за прекрасный персонал, докторов - специалистов в своем деле!
Вчера прошла гастроскопию желудка. Или как её ещё называют полностью - эзофагогастродуоденоскопия. Цена вышла что-то около восьмисот гривен, в областях наверное дешевле. Проходила такое обследование впервые. Очень сильно боялась, начиталась негативных отзывов в интернете. Я трусливая (признаюсь честно). Боялась, что для такой штуки как эзофагогастродуоденоскопия подготовка сложная. Оказалось, все просто. В день перед процедурой кушать надо не позднее 19.00, а водички можно и позже попить. А вот на саму процедуру нужно идти натощак, нельзя пить, курить, принимать лекарства, жевать жвачку... Короче, ничего нельзя. Ещё нельзя проходить процедуру, если приболеешь и заложен нос - на обследование нельзя, это мне сразу сказали. Вначале процедуры обработали горло каким-то препаратом, что почти не было рвотных позывов во время введения зонда и минимум дискомфорта. Перед этим спросили, есть ли аллергия. Потом уложили на кушетку, на левый бок, щёчку на салфетку. В рот вставили специальный фиксатор (не знаю как называется, но это чтоб никто зонд не цапнул зубами) с отверстием посередине. Сказали во время обследования лежать в одном положении, не дергаться, ничего не трогать руками. Кстати, скажите врачу, что вы делаете данную процедуру впервые (если это так) и не стесняйтесь признаться, что боитесь. К вам будут относиться более внимательно, по крайней мере мой гастроэнтеролог Васкес-Абанто Анна Эстурадовна очень меня поддержала и все объяснила. Потом постепенно введут шланг. Процедура длится минуты две, придется потерпеть, успокоиться. Нужно просто спокойно и глубоко дышать. Боли никакой нет. Рада, что попала к такому классному специалисту. Всё прошло довольно гладко. Я и не ожидала такого.
Думаю, что многим из вас знакома эта процедура гастроскопия. Без боли правда редко где делают( Поэтому вряд ли кто-либо скажет, что добровольно готов ее повторить. Мне ее назначали пару раз. В последний раз была гастроскопия во сне, и знаете, процедура так проходит в миллион раз проще и лучше, чем без наркоза. Лично для меня это был выход. Спасибо за совет и компетентность Лужанскому Роману Владимировичу и вообще могу сказать, что эзофагогастродуоденоскопия в Киеве проводится на порядок выше, чем в небольших городах
Всього 19 відгуків
Показати ще 4






