КТ гомілковостопного суглоба в Києві
Гомілковостопний суглоб — вразлива частина нижніх кінцівок: у цій області часто виникають травми та розвиваються патології через надмірні навантаження, вікові зміни, інші фактори ризику. Звичайний рентген не завжди дає повну інформацію для встановлення точного діагнозу, а недостатньо ретельне обстеження — це шлях до неправильного лікування та розвитку ускладнень. Щоб отримати точні результати діагностики, будь ласка, звертайтеся до Клініки МЕДІКОМ для проведення КТ гомілковостопного суглоба в Києві.
Що показує КТ гомілковостопного суглоба
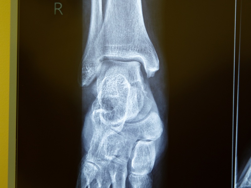
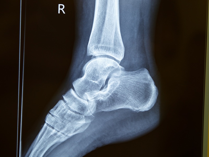
На відміну від рентгенографічного дослідження, за допомогою комп'ютерної томографії можна отримати тривимірне зображення гомілковостопного суглоба. Воно будується з окремих візуальних зрізів, які формуються під час покрокового сканування нижньої кінцівки. Знімки виходять більш точними і структури, зображені на них, можна розглядати за допомогою спеціальної програми на комп'ютері під різними кутами.
На знімках КТ гомілковостопного суглоба відображені таранна, велика та мала гомілкові кістки, навколишні м'які тканини. Можна виявити ознаки дегенеративних процесів, запалення, травм, новоутворення, що локалізуються у цій області.
Показання для КТ гомілковостопного суглоба
Пацієнту можуть рекомендувати зробити КТ гомілковостопного суглоба, якщо проводиться діагностика або оцінка ефективності лікування:
- травми;
- артрозу;
- артриту;
- остеохондропатії;
- туберкульозу кісток;
- вроджених аномалій розвитку;
- захворювань, при яких відчувається біль у гомілковостопному суглобі, скутість рухів, спостерігається нестабільність суглоба, набряк, почервоніння, деформація, хрускіт під час руху та інші симптоми;
- доброякісних чи злоякісних новоутворень, метастазів при онкопатології.
Якщо потрібна максимальна деталізація знімків, проводиться КТ гомілковостопного суглоба з контрастом. Це доцільно, наприклад, при пошуку метастазів злоякісних пухлин.
Завдяки використанню сучасного мультиспірального комп'ютерного томографа Toshiba Aquilion Lightning SP, у МЕДІКОМ можуть проходити діагностику пацієнти з обхватом до 200 см. Томограф має діаметр отвору 75 см, максимальний діаметр зони сканування складає до 50 см. Рішення про можливість виконання процедури в індивідуальному порядку приймається лікарем-рентгенологом.
Яка послуга вас цікавить?
На послуги, позначені зірочкою *, знижка постійного клієнта 10% і 15% не поширюється.
Підготовка до КТ гомілковостопних суглобів
Перед цією процедурою не потрібна спеціальна підготовка. Бажано надати лікарю результати діагностики досліджуваної ділянки, якщо ви раніше вже робили КТ, рентген, УЗД або МРТ. У випадку, коли планується КТ з контрастним підсиленням, пацієнт попередньо здає кров на рівень креатиніну.
Проведення КТ гомілково-ступневих суглобів та стоп
Перед проведенням комп’ютерної томографії гомілковостопного суглоба потрібно подбати, щоб у досліджуваній області не було металевих елементів одягу або аксесуарів. Перед КТ з контрастом внутрішньовенно вводиться контрастний препарат. Рентген-лаборант проводить інструктаж, допомагає правильно розташуватися на столі томографа, який повільно переміщується всередину апарата. Рухатися під час сканування не можна, але є можливість будь-якої миті зв'язатися з лікарем, якщо самопочуття погіршиться. Процедура проходить без болю та дискомфорту і триває кілька хвилин.
Якщо КТ з контрастом проходить жінка у період лактації, перед відновленням грудного вигодовування їй потрібно 2 доби. Для більш швидкого виведення засобу з організму всім пацієнтам рекомендується пити достатньо рідини (близько 2 літрів на добу, або відповідно до індивідуальних рекомендацій від лікаря — якщо є захворювання нирок та схильність до набряків).
Переваги проведення КТ гомілковостопного суглоба в МЕДІКОМ
Проведення КТ гомілковостопного суглобу в Києві у Клініці МЕДІКОМ дає пацієнтам впевненість в отриманні точних результатів діагностики. Ми забезпечили:
- Діагностику з використанням новітнього обладнання.
- Проведення сканування та інтерпретацію результатів у суворій відповідності до сучасних стандартів.
- Якісну консультативну підтримку пацієнтів, інформування щодо підготовки та проведення дослідження.
- Оперативне виконання обстеження та підготовки заключення: для максимально швидкого встановлення діагнозу і можливості почати лікування вчасно.
- Зважені ціни на КТ гомілковостопного суглоба.
Питання-Відповідь
Чи є протипоказання до проведення КТ гомілковостопного суглоба?
Так, КТ гомілковостопного суглоба протипоказана пацієнтам, які не можуть зберігати нерухоме положення під час сканування — при судомах, клаустрофобії, психічних розладах. До 18 років та при вагітності це дослідження проводиться лише у випадках, коли є загроза для життя, і жоден інший метод не дозволяє провести точну діагностику. КТ з контрастним підсиленням забороняється проводити пацієнтам, що мають патології нирок, печінки, щитоподібної залози.
Чи можна вагітним робити КТ гомілковостопного суглоба?
Комп’ютерна томографія гомілковостопного суглоба проводиться при вагітності лише у разі крайньої необхідності. За можливості її замінюють альтернативними методами дослідження або, принаймні, відтерміновують до 2 або 3 триместру.
З якого віку можна робити КТ гомілковостопного суглоба дитині?
Цей метод не застосовується для обстеження пацієнтів віком до 18 років. Виключення складають випадки, коли діагностика захворювання за допомогою інших методів — неінформативна.
Лікарі
Шукаєте кращих спеціалістів, щоб зробити КТ гомілковостопного суглоба? Лікарі-діагности Клініки МЕДІКОМ мають багатий досвід проведення та інтерпретації результатів томографії у пацієнтів з різними захворюваннями, включно зі складними клінічними випадками. Телефонуйте нам за номером (044) 503–77–77, пишіть у Тelegram bot або на сайті у чаті, щоб записатися на діагностику на зручний для вас час і дізнатися додаткову інформацію, що вас цікавить.
Вартість КТ гомілковостопного суглоба
На послуги, позначені зірочкою *, знижка постійного клієнта 10% і 15% не поширюється.
Ліцензії та сертифікати
Обслуговуємо всі райони Києва та передмістя: Оболонь, Печерськ, Поділ, Святошин, Дарниця, Голосіївський, Шевченківський, Солом'янський, Дніпровський, Деснянський.
Вiдгуки
Прочитала про апарат для КТ. В клініці сама нова модель, яка зараз є в Україні. Тому буду робити обстеження тут.
Дуже приємний персонал в самій клініці і у відділенні, де роблять КТ. Обстеження показало повну картину травмування ноги. Травматолог описом знімків задоволений.
Реально здивувала ціна. Причому в кращу сторону. Медіком - хоч і клініка найвищого рівня, але не загинає ціни до небес.


