Травматологія на Оболоні. Сучасні системи фіксації
Металоостеосинтез (остеосинтез) в Києві
Отримали складний перелом і накладанням гіпсу не обійтися? Неправильно зрослися кістки після травми? Ми допоможемо провести ефективне лікування переломів будь-якої складності. Скористатися методикою остеосинтезу можна в клініці МЕДІКОМ. Наші досвідчені лікарі-травматологи успішно застосовують її, використовуючи у процесі втручання лише сучасні матеріали.
Остеосинтез (металоостеосинтез) — це хірургічна операція, яка полягає у з'єднанні кісткових фрагментів за допомогою різних металевих конструкцій, що забезпечує їх фіксацію у правильному анатомічному положенні до повного зрощення. Здебільшого, таке втручання призначається у складних клінічних випадках. Лікування проходить у хірургічному стаціонарі та обов'язково включає подальший курс відновлювальних заходів.
Остеосинтез: що являє собою?
Методика зрощення кісток за допомогою гіпоалергенних металоконструкцій (пластин, штифтів, спиць, дроту) називається металоостеосинтез.
Для остеосинтезу у маленьких дітей застосовуються спиці (найчастіше спиці Кіршнера), оскільки цей спосіб є максимально щадним. У дітей середнього та старшого віку кісткові фрагменти фіксують пластинами. В обох випадках застосування методики металоостеосинтезу не торкається зони зростання, що виключає уповільнення розвитку прооперованої кінцівки.
Металеві конструкції з'єднують уламки кісток у правильному положенні. Завдяки додатковій фіксації регенерація тканин відбувається швидше. Скорочується тривалість реабілітації після перелому. Також остеосинтез знижує ймовірність деформації кістки, пошкодження та некрозу нервових волокон та судин.
Види остеосинтезу (металоостеосинтезу)
У травматології застосовуються три види остеосинтезу:
- Інтрамедулярний остеосинтез. Внутрішньокісткова методика, при якій з'єднання фрагментів кістки досягається за рахунок введення штифтів у кістковомозкові канали.
- Екстрамедулярний остеосинтез. Кісткові фрагменти фіксуються шляхом закріплення пластин гвинтами на поверхні кістки.
- Остеосинтез апаратом зовнішньої фіксації. Цей черезкісний метод реалізується шляхом проведення спиць через зону перелому. Завдяки компресії фрагменти наближаються один до одного і зростаються.
Залежно від кількості фіксацій остеосинтез буває первинним чи повторним (реостеосинтез).
Показання до остеосинтезу
Установка металоконструкції провадиться, коли діагностуються:
- відкриті переломи;
- плоскостопість;
- зміщення уламків кістки;
- вальгусна деформація стопи;
- навколосуглобові чи внутрішньосуглобові переломи у дітей;
- нестабільні переломи, схильні до вторинного зміщення;
- високий ризик пошкодження судин чи нервів фрагментами уламків;
- тривале незрощування чи неправильне загоєння перелому;
- деформаційні зміни довгих трубчастих кісток.
Протипоказання до остеосинтезу
Металоостеосинтез не проводиться за таких клінічних ситуацій, як:
- великі відкриті травми;
- вторинне інфікування;
- глибоке некротичне ураження м'яких тканин;
- проблеми зі згортанням крові;
- декомпенсований перебіг супутніх патологій;
- порушення кровопостачання ураженої кінцівки;
- загальний тяжкий стан хворого;
- епілептичні напади, судоми;
- остеопороз.
Підготовка до металоостеосинтезу
Для виключення протипоказань до операції, загального наркозу, спінальної чи провідникової анестезії обов'язково проводиться передопераційна підготовка хворого. Всі діагностичні заходи можна пройти на базі клініки МЕДІКОМ під наглядом травматолога.

У план передопераційної діагностики входить низка досліджень:
- загальний аналіз сечі;
- загальний аналіз крові;
- тест на COVID;
- коагулограма;
- біохімія крові;
- ЕКГ;
- флюорографія;
- КТ та/або МРТ травмованої ділянки;
- остеосцинтиграфія (якщо лікар підозрює остеопороз);
- аналізи крові на вірусні гепатити В та С, ВІЛ, сифіліс;
- аналіз крові на групу та резус-фактор.
За потреби призначається консультація кардіолога, ендокринолога чи інших профільних спеціалістів. Щоб підібрати максимально ефективні та безпечні препарати для знеболювання остеосинтезу, хворого оглядає анестезіолог.
Як проводиться металоостеосинтез?
План операції складається за результатами діагностики. Лікар обирає максимально ефективний метод закріплення кісткових фрагментів, готує конструкцію та набір інструментів для остеосинтезу.
Операція остеосинтезу виконується у два етапи:
- встановлення металоконструкції;
- видалення металоконструкцій після остеосинтезу.
Техніка втручання залежить від виду металевих елементів. У деяких випадках фіксуючі пристрої залишаються в тілі пацієнта.
Показання для видалення конструкції для остеосинтезу:
- інтрамедулярне введення конструкцій;
- молодий вік;
- індивідуальний дискомфорт через присутність імплантату у незручному місці (лікті, щиколотці, ключиці);
- інфікування з розвитком остеомієліту;
- незрощений перелом (для накладання нової конструкції).
Фіксація пластинами
Хірург виконує розрізи в зоні пошкоджень, розсуває м'які тканини та м'язи до оголення кістки. Лікар правильно зіставляє уламки, ставить пластину і просвердлює отвори в кістковій тканині в місцях отворів конструкції. Пластина кріпиться гвинтами. Операційна рана пошарово ушивається. На кінцівку накладається гіпсова пов'язка.
Фіксація дротом
Методика ефективна для зрощування трубчастих кісток та фіксації трансплантатів кісткової тканини. Хірург зачищає кісткові уламки від рубцевих тканин та зіставляє фрагменти. Окістя розсікається по лінії дротяного шва. Для кращої фіксації та запобігання зісковзування дроту робляться спеціальні насічки на кістки. Конструкція намотується спеціальним апаратом, а кінці її туго закручуються.
Фіксація спицями
Найчастіше ця методика застосовується для лікування переломів в дітей чи фіксації дрібних трубчастих кісток. Також спиці використовуються при остеосинтезі шийки стегна. Стрижень встановлюється в кісткову порожнину по лінії перелому та забезпечує правильне прилягання уламків. Після зрощення конструкція видаляється.
Яка послуга вас цікавить?
На послуги, позначені зірочкою *, знижка постійного клієнта 10% і 15% не поширюється.
Реабілітація після остеосинтезу (металоостеосинтезу)
Після операції пацієнта доставляють до палати відділення реанімації та залишають під лікарським наглядом до повної стабілізації стану після загального наркозу, спінальної чи провідникової анестезії. Далі лікування відбувається у палаті відділення хірургічного стаціонару. Для профілактики гнійних ускладнень пацієнту призначають антибіотики. Біль купірується індивідуально підібраними анальгетиками.
Рухові функції відновлюються поступово. Для більш швидкого відновлення після остеосинтезу для пацієнта розробляється програма реабілітації. Здебільшого, вона включає фізіотерапію, масаж, лікувальну фізкультуру. Перелік вправ для ЛФК залежить від клінічного випадку. Комплекс спрямовується на запобігання застійним явищам, відновлення моторики та обсягу рухів.
Повне зрощення кістки та формування кісткової мозолі зазвичай займає 2-7 місяців. Переломи кісток рук зростаються приблизно за 6-8 тижнів. Стегнова кістка відновлюється найдовше — 2,5-4 місяці.
Результати та ефект
Застосування металевих конструкцій при важких переломах допомагає досягти стабільної фіксації уламків в анатомічно правильному положенні. Після операції гіпс накладається не завжди.
Остеосинтез необхідний для правильного та прискореного зрощування кісток та зниження ризику ускладнень. Метод забезпечує надання якісної допомоги, навіть у складних ситуаціях, щоб пацієнт міг повернутись до звичного життя. Завдяки правильному зіставленню та додатковій фіксації уламків, переломи зростаються швидше. Відповідно, тривалість реабілітації значно скорочується.
Ви можете дізнатися про результати остеосинтезу за відгуками пацієнтів клініки МЕДІКОМ у відповідному розділі сайту.
Остеосинтез плеча вивих ДО-ПІСЛЯ:
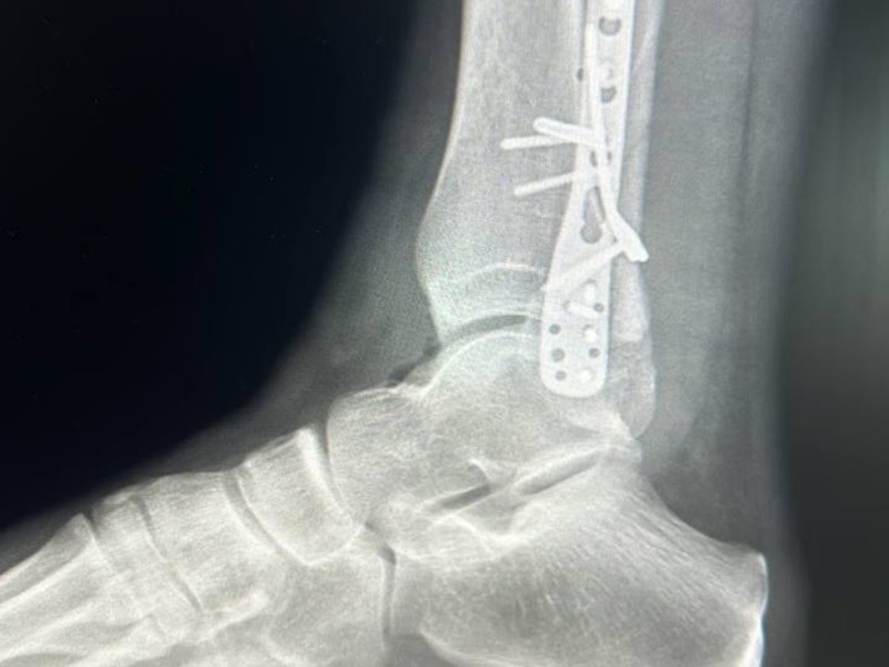
Металоостеосинтез МОС гомілки ДО-ПІСЛЯ
Металоостеосинтез МОС плечевої кістки ДО-ПІСЛЯ:
Остеосинтез: ускладнення після операції
Ускладнення після остеосинтезу можуть викликати такі причини:
- недотримання рекомендацій лікаря щодо допустимих навантажень на прооперовану кінцівку;
- недотримання заходів антисептики та асептики при перев'язках або догляді за зовнішніми конструкціями;
- повторне одержання травми;
- прихований дефект металевої конструкції;
- місцева чи загальна реакція організму на травму та хірургічне втручання.
До можливих ускладнень після остеосинтезу відносять:
- інфекційно-запальні процеси;
- поломку фіксатора;
- остеомієліт;
- тромбози;
- жирову емболію;
- посттравматичний артрит;
- некроз країв рани при компресії м'яких тканин металоконструкцією;
- формування хибного (несправжнього) суглоба.
Правильна підготовка хворого до операції, високий рівень кваліфікації ортопеда-травматолога, а також дотримання всіх рекомендацій лікаря у післяопераційному та реабілітаційному періодах суттєво скорочують ризик розвитку ускладнень. Пацієнтам необхідно бути уважними до порад спеціаліста та точно виконувати всі призначення.
Переваги сучасного остеосинтезу у травматології МЕДІКОМ
- Багаторічний досвід роботи та висока кваліфікація хірургів.
- Індивідуальний підхід до кожного клінічного випадку.
- Застосування методик, що найкраще зарекомендували себе, кращих інструментів і витратних матеріалів.
- Висока гарантія стерильності.
- Проведення хірургічних втручань у операційних, що відповідають стандартам JCI.
- Проведення операцій під контролем рентгену.
- Сучасні та безпечні методи знеболювання.
- Можливість надання невідкладної допомоги у відділенні реанімації.
- Комфортні палати.
Дізнатись ціну остеосинтезу можна у менеджера стаціонару після детальної консультації з хірургом ортопедом-травматологом.
Питання-Відповідь
Що краще за остеосинтез чи ендопротезування?
Вибір методу лікування складного перелому залежить від результатів діагностики, зокрема даних КТ. Тільки після вивчення всіх особливостей травми травматолог визначає показання до остеосинтезу чи ендопротезування суглоба. Здебільшого, ендопротези встановлюються через неможливість відновлення суглоба або наявність протипоказань до операції остеосинтезу (наприклад, на тлі остеопорозу).
Коли можна спиратися на ногу після металоостеосинтезу?
У післяопераційний період пацієнту рекомендовано ходити лише на милицях. Можна повністю ставати на кінцівку або потрібно ще почекати — таке рішення приймається лікарем. Терміни відновлення після остеосинтезу визначаються особливостями клінічного випадку та типом застосовуваної для фіксації уламків конструкції. Здебільшого, період повної реабілітації займає від 3-4 місяців до півроку.
Скільки часу перебувають у стаціонарі після металоостеосинтезу?
Лікування після остеосинтезу проводиться в умовах стаціонару. Тривалість госпіталізації залежить від особливостей травми та загального стану здоров'я. У середньому перебування у стаціонарі на Оболоні займає близько 2 тижнів.
Коли можна займатися спортом після остеосинтезу?
Післяопераційний період — обмеження для пацієнта. Від їхнього дотримання багато в чому залежить успіх операції. До курсу реабілітації, який складається реабілітологом індивідуально, входить поступове нарощування навантажень (залежно від ступеня відновлення кісткових тканин). Лікувальна фізкультура, масаж та фізіопроцедури допомагають прискорити відновлення. Починати займатися спортом можна з дозволу лікаря. Наприклад, повернення до активних видів спорту можливе лише через 6-12 місяців.
Чи можна не видаляти металоконструкцію після зрощення кістки?
Зазвичай видалення металоконструкції після остеосинтезу рекомендується через 10-12 місяців після їхнього встановлення, коли відбулося повне зрощення перелому та/або загоєння пошкоджених зв'язок. Але поряд із цим існує думка, що якісні металоконструкції можна і не видаляти. Це дійсно так. Тому у сучасній медицині застосовується індивідуальний підхід в оцінці ризиків та обґрунтованості видалення металоконструкцій, встановлених під час остеосинтезу.
Конструкцію можуть залишити:
- у літніх людей з остеопорозом в анамнезі, щоб зменшити ймовірність повторного перелому;
- у разі поганої переносимості анестезії;
- при розташуванні елементів конструкції поблизу судинно-нервового пучка і в інших анатомічних зонах, у яких повторна операція може призвести до травмування важливих вузлів і органів;
- при рубцевому процесі, що ускладнює виявлення конструкції.
Тобто у всіх ситуаціях, коли ризик перевищує користь.
А ось якщо пацієнт фізично активний, займається або планує займатися спортом (особливо екстремальним), металоконструкції мають бути обов'язково видалені.
Стаття носить інформаційно-ознайомлювальний характер. Будь ласка, пам'ятайте: самолікування може нашкодити вашому здоров'ю.
Джерела
Лікарі
Шукаєте досвідчених фахівців з остеосинтезу у Києві? Для отримання своєчасної допомоги звертайтесь до підрозділу клініки МЕДІКОМ на Оболоні або нашого цілодобового травмпункту. Телефонуйте за вказаними на сайті номерами, заповнюйте форму зворотного зв’язку або онлайн-запису. Оператори швидко зв'яжуться з вами, нададуть відповіді на всі питання та підберуть зручний час візиту до лікаря. Точну вартість остеосинтезу буде названо після діагностики та огляду у травматолога. Звертайтесь, і ми допоможемо пройти ефективне лікування навіть найважчих переломів.
Остеосинтез: ціна операції
На послуги, позначені зірочкою *, знижка постійного клієнта 10% і 15% не поширюється.
Ліцензії та сертифікати
Обслуговуємо всі райони Києва та передмістя: Оболонь, Печерськ, Поділ, Святошин, Дарниця, Голосіївський, Шевченківський, Солом'янський, Дніпровський, Деснянський.
Вiдгуки
Щиро дякую Самусенку І.В. та команді за терпіння і уважність перед операцією. Зламав п'ясткову кістку, боявся що рука не відновиться. Операцію зробили акуратно, болі менше, рухи повертаються .
Дякую команді стаціонару на Оболоні та лікарям у декількох філіях за професійну допомогу. Після падіння на тренуванні зламав п’ястову кістку, рука не працювала нормально і було багато страху перед операцією. Остеосинтез пройшов удачно, все пояснили, підхід був акуратний. Після виписки почав реабілітацію за порадами лікаря, поступово повертаюся до звичних справ — можу тримати чашку і навіть робити нескладні вправи. Особливо сподобалася уважність персоналу і чітка організація стаціонару.
Дякую команді за остеосинтез . Лікарі професійні, операція пройшла впевнено, нове обладнанння і чіткий сервіс зробили процес простішим. Уже повернувся до пробіжок по парку — нога майже не нагадує про травму, смішно, але радує.
Після невдалого падіння я зламав фаланги пальців і звернувся в Клініку Медиком. Остеосинтез фаланг пальців провів врач ортопед-травматолог. Чесно кажучи, трохи хвилювався перед операцією, але лікар запевнив, що все буде добре. Операція пройшла швидко, а завдяки їхньому підходу я вже через декілька тижнів міг нормально користуватись рукою. Жартома кажу друзям, що став трохи "металічним", але важливо, що тепер можу без проблем носити пакети з магазину! Дуже вдячний за таку якісну допомогу.
Зламав фалангу, не міг працювати — зробили остеосинтез. Лікар-ортопед-травматолог зробив все на найвищому рівні — рука відновилася, рекомендую.
Подвійні та множинні травми, остеосинтез ліктьового відростка - ось що мені довелося пережити за цей рік після аварії. Але вдячна лікарям Медікому, що змогли поставити мене на ноги. Це все просто безцінно!
Була налякана складністю перелому і термінами відновлення, адже лікар говорив про комбінований метод із блокувальним остеосинтезом. Проте вже через кілька тижнів помітила, що кортикальний фрагмент добре зрісся, і суглоб почав рухатися без болю. А програма фізіотерапії допомогла відновити нормальну рухливість суглоба. Тож спасибі клініці за надану допомогу.
Після перелому гомілки лікар з районної лікарні прямо сказав: без пластини не зростеться. Звернулась до хірургів у Medikom - чітко оцінили ситуацію, прооперували, поставили металеву пластину. Біль і страх зникли майже одразу після того, як прокинулась після наркозу. Пройшло два місяці - впевнено ходжу, як до травми. Дякую лікарю Циганкову за вмілі руки.
Було лячно йти на операцію з металом, чесно. Але тепер розумію, що дарма тягнув. Рука рухається нормально, не ниє. Залізо в тілі не відчувається: термінатором себе не відчуваю)).
Я довго відкладав думав, може зростеться. Не зрослось. І зрештою пластина в нозі виявилася кращим рішенням, ніж постійний біль і хромота. Ризикував би далі, якби знайомий лікар не сказав: Зроби зараз потім буде пізно. Абсолютних протипоказань я не мав. Тому справді радий, що довірився.
Зламана рука в доньки під час канікул не те, що плануєш навесні. Але після операції з малоінвазивного остеосинтезу вона вже на другий день жартувала з медсестрою. Все зрослось ідеально під контролем, без «ой, подивимось». Не думала, що «розбиті кістки» можуть бути настільки акуратно зібрані.
Здавалося, що травма батька була катастрофічною Тим паче вже у 58 років. Але лікарі в Медікомі постаралися на славу. Відновлення пройшло. Зараз батько повернувся до повсякденних справ.
Спасибі лікарю Самусенку & Со! Завдяки вашій роботі вже роблю перші кроки! Вірю, що все буде ок!
Після перелому сину було проведено остеосинтез із використанням титанових пластин, що забезпечило анатомічно правильне зрощення кістки. Операція пройшла успішно, а завдяки ранній реабілітації та фізіотерапії вдалося швидко відновити рухливість ураженої ділянки. Контрольні рентген-знімки підтвердили надійну фіксацію.
В лікарні помилилися - і я отримала проблеми з правильним зростанням кістки. Довелось звертатись в цю клініку, щоб вирішити проблему. І можу сказати, що персонал підтвердив і якість сервісу, і якісне лікування. Тому можу всім сказати, що краще відразу звертатися до перевірених професіоналів, ніж економити якусь зайву тисячу на своєму здоров'ї.
На роботі кам'яна брила впала мені на ногу. Подробило все. Відразу вирішив, що на лікуванні не буду економити, щоб не ходити все життя на милицях. Тому всі операції і цей остеосинтез проходив в відомому всім “Медікомі”. Зараз уже після двох місяців реабілітації я ледь-ледь відчуваю наслідки серйозної травми.
У мене неприємний досвід лікування перелому в одній київській клініці (не буду називати, хай їм гикнеться). Тому вирішила робити остеосинтез в Медікомі, щоб все зрослося по-правильному. Зараз я вже на реабілітації. Контрольний знімок показав, що жодних слідів на місці перелому не залишилось.
Мав дуже серйозну травму під час тренування. Ногу довелося складати фактично по частинах. Але дякуючи вмінню лікарів Медікому реабілітація пройшла нормально. Зараз через 4 місяці повертаюся до тренувань і хочу подякувати клініці за якісну роботу.
У мене волосся дибки встали, коли я почув слова "операція" та "остеосинтез"... Потім вже з’ясувалося, що не все так страшно, якщо потрапити до рук спеціаліста, який тобі все пояснить і налаштує на потрібну хвилю. Оперував мене Цокало Василь Миколайович. Професіонал свого діла, який вміє все пояснити так, щоб не навести ще більшого жаху. Дякую йому за гарний результат лікування. Процес дуже довгий, але він був того вартий. Рекомендую!
Взагалі я не дуже люблю писати будь-які відгуки, але згадуючи свої пошуки інформації та клініки, де б мені зробили все якісно і без наслідків, я подумав, що все ж треба. Отримав достатньо складний перелом ноги, не в одному місці, а відразу на гомілковій кістці та стегна... Пройшов скелетне витягування... Дуже неприємно я вам скажу, свердлять п'яту, коліно... вставляють спиці... підвішують вантаж, валяєшся як овоч... Тому коли лікар почав натякати, що потрібен остеосинтез, мене вже це не налякало... Тільки почав шукати де його ліпше зробити, щоб якісно. Так і вийшов на "Медіком" на Оболонській набережній. Операторка клініки мені порадила О. С. Марищака. Олександр Сергійович виявився дуже крутим професіоналом, вже на першій консультації я зрозумів, що довірюсь тільки йому. Підготовка до операції була скрупульозна, відходив від наркозу нормально, відновлювався... не скажу, що дуже швидко, але не так довго як я думав. Хоча й зараз ще не ризикую якесь навантаження істотне робити, хоча й пройшло вже 9 місяців. Є страх(((
Після перелому коліна мені проводив остеосинтез Микола Львович Анкін. Операція складна, але в клініці Медіком її зробили дуже якісно. Ускладнень не було. Відновився повністю приблизно за 3 місяці. Клініка дуже хороша: комфорт, професіоналізм усіх працівників, нормальні ціни. Микола Львович, я вдячний вам і рекомендуватиму всім знайомим!
У мене був важкий перелом у колінному суглобі і за порадою знайомих я вирішив робити операцію у клініці Медіком. Остеосинтез виконував Циганков Максим Анатолійович після огляду Цокала Василя Миколайовича. Процедура пройшла успішно. Ускладнень не було. Клініка загалом сподобалася.
Максим Анатолійович, ви травматолог від Бога та Людина з великої літери! Під час ожеледиці я отримала найскладніший перелом ноги. Моя сестра одразу відвезла мене до травмопункту клініки Медіком. Аналізи та КТ провели швидко, і лікар сказав, що необхідно робити остеосинтез. Я дуже боялася операції... І даремно! Болю не було ні під час операції, ні після неї практично завдяки лікам. З ногою все чудово! Навіть шрами майже непомітні, а це важливо для молодої жінки. Максиме Анатолійовичу, дякую вам! Я бажаю вам перемог у всіх починаннях!
Я спортсмен и во время тренировки серьезно повредил руку. Обратился в клинику Медиком на Оболони. Диагностику провели очень быстро. Усаковский Николай Георгиевич порекомендовал операцию по остеосинтезу и провел ее мне после госпитализации в стационар. Это очень опытный травматолог! Теперь рука работает как новая. Скоро я смогу вернуться к тренировкам! Николай Георгиевич, спасибо вам за профессионализм! Вы помогли мне не только вылечить руку, но и вернуться в мою жизнь - спорт!
Максим Анатолиевич, я очень благодарна вам за ваши золотые руки и профессионализм! Я попала под машину и у меня были очень тяжелые травмы. Хорошо, что мой муж быстро сориентировался и сразу вызвал мне скорую помощь из клиники Медиком, в которой мы регулярно лечимся. Меня максимально бережно транспортировали в больницу на Оболонской набережной 9, очень быстро провели все необходимые обследования, анализы и назначили операцию по остеосинтезу костей ноги. Перелом был сложный и я уверена, что далеко не каждый травматолог смог бы мне помочь. Максим Анатолиевич проявил особую внимательность ко мне и сделал все, чтобы моя нога восстановилась в полной мере. Он постоянно подбадривал меня после операции, давал много советов и внимательно следил за состоянием ноги. Кроме него со мной активно работали массажисты, реабилитологи и специалисты по физиотерапии. Теперь все самое худшее позади! Я нормально хожу, не хромаю и знаю, что скоро от травмы останутся только воспоминания. Спасибо всем врачам и медсестрам, которые помогали мне! Я благодарна и руководству Медикома за то, что они смогли создать такое лечебное учреждение, в котором работают только профессионалы!
Всього 25 відгуків
Показати ще 4







